Implantes Naturalmente Invisibles
NATURALMENTE INVISIBLEs
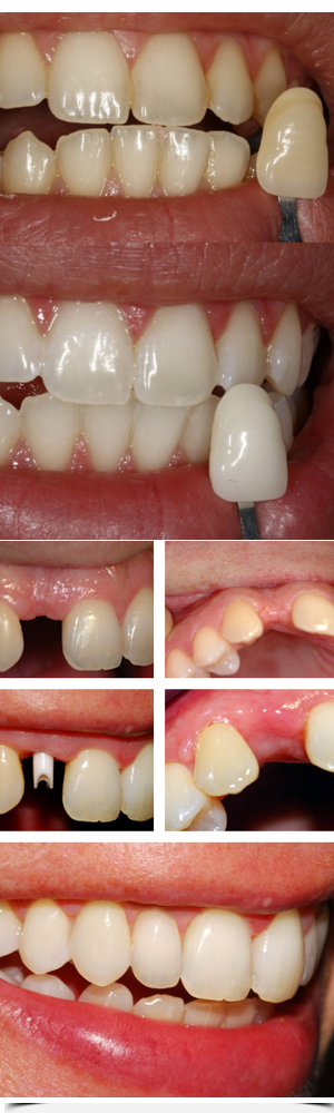
Implantes para ausencias de un solo Diente
|
Cualquier persona puede perder un diente en poco tiempo o en cuestión de segundos por ciertas circunstancias. El Odontologo coloca la pequeña raíz dental artificial de alta tecnología en el hueso, en el sitio que ocupaba el diente natural. En la mayoría de los casos, en esto no se tarda más que en cualquier otro tratamiento rutinario en el dentista. Una prótesis provisional oculta el espacio hasta que el implante dental está integrado en el hueso. A continuación, se coloca la corona definitiva de forma permanente. Ud. Elige: ¿un puente convencional o un implante? Alternativamente, en la mayoría de los casos el diente ausente también se puede sustituir a través de un puente fijo. Para colocar el puente, hay que tallar el diente anterior y posterior del espacio sin diente, estos serán los pilares del puente. Porque el tallado implica que pierdan para siempre su capa protectora de esmalte y que son sometidos a cargas mayores. Por ello, en ciertos casos se acorta su esperanza de vida. El puente es una estructura apoyada sobre dos pónticos o dientes naturales que sujeta entre medias un póntico o diente natural. Pero no transmite al hueso las mismas fuerzas que un diente natural. ¿Y si a la izquierda y a la derecha no hay dientes vecinos porque el espacio sin diente está al final de la arcada? ¿O uno de los dientes vecinos tiene una esperanza de vida baja y por tanto no es apropiado para ejercer de pilar para el puente? En ese caso queda la posibilidad de fabricar una prótesis parcial removible. Para darle sujeción, se fijan por ejemplo unos pequeños ganchos metálicos en los dientes vecinos. Las prótesis y los refuerzos metálicos ofrecen un apoyo adicional en el paladar o la mandíbula, pero con el tiempo es posible que los ganchos metálicos dañen los dientes en los que están apoyados. Las prótesis parciales removibles de mayor calidad también pueden ser fijadas en los dientes mediante otro tipo de anclajes, conocidos como ataches. |
Para ello, igual que un puente apoyado sobre dientes, los dientes tienen que ser tallados y rehabilitados con coronas. Con implantes dentales, todo eso no hace falta. Estos pequeños tornillos de titanio son raíces dentarias artificiales que dan sostén de forma invisible y segura a sus nuevas coronas. No es necesario tallar ni colocar fundas en ningún diente sano, y tampoco se tiene que preocupar por los ganchos. Sus dientes sobre implantes no se diferencian de los dientes naturales: tienen el mismo aspecto y la sensación que transmiten también es la misma. Como si no hubiera pasado nada. Implantes: la mejor solución en todos los aspectos Sin embargo, los ganchos metálicos pueden sobrecargar con el tiempo los dientes en los que están apoyados y causar así la pérdida de más dientes. Algo innecesario porque existen los implantes. Una corona soportada por un implante no necesita ganchos de fijación. Tampoco se tiene que tallar ningún diente. Además, el implante le permite al hueso maxilar mantener su forma natural. El diseño de los implantes reproduce la anatomía de la raíz dentaria natural, por lo que transmiten las fuerzas de forma apropiada y modelan correctamente el hueso y la encía. Nadie notará la pequeña diferencia, ni siquiera Ud. mismo. Su nuevo diente funciona igual que sus dientes naturales. Se cuida igual que ellos y dura lo mismo – incluso si las cosas se vuelven a poner duras durante práctica de deporte.
|



